Henkilökohtainen hygienia ei aina ole niin henkilökohtaista kuin miltä näyttää Hygienia on nimittäin myös sosiaalinen asia. Jos et ole 'raikas',...
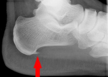
Read moreDetailsHielenpohjassa kovettumista kokeneet ihmiset tietävät, kuinka kivulias tämä vaiva usein on. Vaikka kantaluupiikki esiintyy useammin yli 40-vuotiailla, voi se ilmetä...
Read moreDetailsAh, kesä on täydessä vauhdissa! Aurinkorasvan, jäätelön ja… kuumien autojen aikaa. Mutta älä huoli, ystäväni, sillä aion paljastaa sinulle salaisuuden,...
Read moreDetailsOn olemassa sellaisia siivoustehtäviä kotona, joista ei tule ollenkaan iloiseksi tai joita ei ehkä ajattele ollenkaan. Yksi niistä tehtävistä on...
Read moreDetailsJoan Woodhouse jakoi suosikkikauneustuotteensa, joka on pitänyt hänen ihonsa pehmeänä ja nuorekkaana, ja se maksaa vain muutaman euron. Usko tai...
Read moreDetailsMitä tulee suihkussa käymiseen, kaikilla on oma rituaalinsa. Joku suihkuttaa kylmää, toinen lämmintä, joku lyhyesti ja toinen pitkään. Joten ei...
Read moreDetailsMuurahaisongelman ratkaiseminen Muurahaisongelma voi olla hankala ja turhauttava ongelma asunnon omistajille. Nämä pienet hyönteiset voivat levitä nopeasti ja muodostaa pesäkkeitä...
Read moreDetails29-vuotias asunnonomistaja jakoi tarinansa sosiaalisessa mediassa, jossa hän kertoi odottamattomasta 'allasjuhlasta' omassa puutarhassaan. Hänen 'oikeutettu naapuri' oli hypännyt lasten kanssa...
Read moreDetailsKuivausrumpu on tulevana talvena yksi niistä kodinkoneista, joita on parempi olla käyttämättä. Energiahintojen noustessa pilviin etsimme kaikki kekseliäitä tapoja kustannusten...
Read moreDetailsTähän aikaan vuodesta on yleinen ongelma: huurteiset auton ikkunat. Olet jo vaivoin raahannut itsesi pois lämpimästä sängystäsi, pukeutunut ja muistuttanut...
Read moreDetails© 2024 Flipstaa.com - All rights reserved